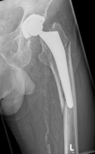
Broken femur during hip replacement

» » Broken femur during hip replacement

Broken femur during hip replacement

Broken Femur During Hip Replacement. Medical conditions such as osteoporosis (softening of the bone with age), or rarely cancer, can weaken the bone and make the femur more vulnerable to breaking. In general, fractures of the very top of the thigh bone, called the femoral neck, are treated with replacement. The leg ws brought back up on the operating table. Sometimes screws are attached to a metal plate that runs down the thighbone (femur).

Fixing Hip Fractures Fixing Hip Fractures From hopkinsmedicine.org

Afib with rapid ventricular response Birth control pills and ovarian cancer Ankylosing spondylitis diagnostic criteria Attorney fees for civil case

Fracture after total hip replacement. I had to have a week�s complete bedrest before the second operation, and have been told to use crutches for 6 weeks (full weight bearing). Broken femurs are treated with surgery and physical therapy. The surgical procedure used to repair a broken hip may vary depending on a number of factors. If the femoral neck fracture is not at all displaced (out of position), then a repair of the break may be considered. A periprosthetic hip fracture is a broken bone that occurs around the implants of a total hip replacement.

Hip fracture after total hip replacement may involve a fracture of the bone around the implant or of the bone directly surrounding the implant.

Hip fractures are cracks or breaks in the top of the thigh bone (femur) close to the hip joint. The upper femur and the socket in the pelvic bone are replaced with artificial parts (prostheses). I had my other hip replaced in july and was back at work after 6 weeks. However, my thigh still hurts. Hip fractures are more common in older people because bones weaken and become more brittle with age. Fracture after total hip replacement.

Femoral Neck Fracture Treated With Total Hip Arthroplasty (Upper Left… |  Download Scientific Diagram Source: researchgate.net

Hip fractures are more common in older people because bones weaken and become more brittle with age. Break your hip if you break the upper part of your femur. The surgical procedure used to repair a broken hip may vary depending on a number of factors. If your hip replacement broke down in some way or wasn�t implanted correctly, you very likely have a legal. Although a fracture may occur during a hip replacement procedure, the majority of periprosthetic fractures occur after a patient has spent years functioning well with a hip replacement.

Outcome Of Periprosthetic Femoral Fractures Following Total Hip Replacement  Treated With Polyaxial Locking Plate | Springerlink Source: link.springer.com

The upper femur and the socket in the pelvic bone are replaced with artificial parts (prostheses). Metal screws are inserted into the bone to hold it together while the fracture heals. During this surgery, the head and neck of the femur are replaced completely with a metal ball and stem. However, my thigh still hurts. Hip fracture after total hip replacement may involve a fracture of the bone around the implant or of the bone directly surrounding the implant.

Periprosthetic Fractures Of The Femur Associated With Hip Arthroplasty Source: scielo.org.za

In general, fractures of the very top of the thigh bone, called the femoral neck, are treated with replacement. Broken femurs are treated with surgery and physical therapy. Sometimes screws are attached to a metal plate that runs down the thighbone (femur). Sometimes the femur fractures before, during or after hip replacement surgery. Although a fracture may occur during a hip replacement procedure, the majority of periprosthetic fractures occur after a patient has spent years functioning well with a hip replacement.

Fracture After Total Hip Replacement - Orthoinfo - Aaos Source: orthoinfo.aaos.org

Hip fractures are more common in older people because bones weaken and become more brittle with age. May occur as a result of a wrong technique, implants or instrument mismatch, or use. I had my other hip replaced in july and was back at work after 6 weeks. Sometimes screws are attached to a metal plate that runs down the thighbone (femur). A periprosthetic hip fracture is a broken bone that occurs around the implants of a total hip replacement.

Radiographs Of A 33-Year- Old Man Showing: A Total Hip Arthroplasty… |  Download Scientific Diagram Source: researchgate.net

Break your hip if you break the upper part of your femur. They�re usually caused by a fall or an injury to the side of the hip, but may occasionally be caused by a health condition, such as cancer that weakens the hip bone. The upper femur and the socket in the pelvic bone are replaced with artificial parts (prostheses). A hip fracture happens when the upper part of the thighbone (femur) breaks. It is a serious complication that most often requires surgery.

Fracture After Total Hip Replacement | Complete Orthopedics | Multiple Ny  Locations Source: cortho.org

Now that they install a super large. I�m assuming it might be worse to have the ilium crest fractured, than the femur, but i don�t. The healing process, however, requires immobilizing the joint through complete bed rest, which often takes three to four months. The surgical procedure used to repair a broken hip may vary depending on a number of factors. Fracture after total hip replacement.

Periprosthetic Fracture After Total Hip Replacement - Dr. Mukhi�s Raj  Hospital Source: drmukhirajhospital.com

A retractor was placed about the acetabulum. Repair or replace a fractured hip? Most hip fractures cause severe pain and require surgery immediately. Now that they install a super large. 4,11,22,23,26 however, there is no specific report describing fracture of just the greater trochanter in patients with hip replacement.

Periprosthetic Fracture Of The Femur After Total Hip Arthroplasty |  Musculoskeletal Key Source: musculoskeletalkey.com

Hip fractures are more common in older people because bones weaken and become more brittle with age. May occur as a result of a wrong technique, implants or instrument mismatch, or use. Hip fractures are cracks or breaks in the top of the thigh bone (femur) close to the hip joint. A year ago i had my left hip replaced and the next day broke my femur. A periprosthetic hip fracture is a broken bone that occurs around the implants of a total hip replacement.

A Rare Fracture Femur (Actebular Fracture Surgery) And Hip Replacement  Surgery Improves The Quality Of Young Patient From Niger | Knee Replacement Source: international.wockhardthospitals.com

If your hip replacement broke down in some way or wasn�t implanted correctly, you very likely have a legal. 4,11,22,23,26 however, there is no specific report describing fracture of just the greater trochanter in patients with hip replacement. It is a serious complication that most often requires surgery. As @crickethip told you, i also experienced this during my first thr (i had both hips replaced, eight weeks apart). Left to itself, a fractured hip, like most broken bones, will mend itself.

Hip Fracture Information Source: mendmyhip.com

The femur (thighbone) can be split or cracked during hip replacement surgery due to poor use of instruments during bone preparation or unexpectedly soft bone. The healing process, however, requires immobilizing the joint through complete bed rest, which often takes three to four months. Femur fracture repair — discharge. Although a fracture may occur during a hip replacement procedure, the majority of periprosthetic fractures occur after a patient has spent years functioning well with a hip replacement. Metal screws are inserted into the bone to hold it together while the fracture heals.

Periprosthetic Fractures Of The Proximal Femur: Beyond The Vancouver  Classification In: Efort Open Reviews Volume 5 Issue 7 (2020) Source: eor.bioscientifica.com

Hip fractures occur due to a fall or direct impact to the side of the hip. A periprosthetic hip fracture is a broken bone that occurs around the implants of a total hip replacement. Fracture after total hip replacement. They�re usually caused by a fall or an injury to the side of the hip, but may occasionally be caused by a health condition, such as cancer that weakens the hip bone. I have had 6 hip surgeries and on the last temporary hip the femur broke form doing physical therapy.

Fixing Hip Fractures Source: hopkinsmedicine.org

The following day my femur was cabled together and my hip replaced again. I have had 6 hip surgeries and on the last temporary hip the femur broke form doing physical therapy. A periprosthetic hip fracture is a broken bone that occurs around the implants of a total hip replacement. Falls are very common among older people, especially in people aged 80 and. The leg ws brought back up on the operating table.

Treatment Of Periprosthetic Femoral Fractures After Femoral Revision Using  A Long Stem | Bmc Musculoskeletal Disorders | Full Text Source: bmcmusculoskeletdisord.biomedcentral.com

A year ago i had my left hip replaced and the next day broke my femur. Falls are very common among older people, especially in people aged 80 and. Medical conditions such as osteoporosis (softening of the bone with age), or rarely cancer, can weaken the bone and make the femur more vulnerable to breaking. May occur as a result of a wrong technique, implants or instrument mismatch, or use. Hip fractures occur due to a fall or direct impact to the side of the hip.

Periprosthetic Fractures Of The Femur Associated With Hip Arthroplasty Source: scielo.org.za

Most hip fractures cause severe pain and require surgery immediately. Femur fracture repair — discharge. The surgical procedure used to repair a broken hip may vary depending on a number of factors. This study looked at 38 cases in 36 patients. Hip fracture after total hip replacement may involve a fracture of the bone around the implant or of the bone directly surrounding the implant.

Fracture After Total Hip Replacement - Orthoinfo - Aaos Source: orthoinfo.aaos.org

I�m assuming it might be worse to have the ilium crest fractured, than the femur, but i don�t. The leg ws brought back up on the operating table. Although a fracture may occur during a hip replacement procedure, the majority of periprosthetic fractures occur after a patient has spent years functioning well with a hip replacement. As @crickethip told you, i also experienced this during my first thr (i had both hips replaced, eight weeks apart). A retractor was placed about the acetabulum.

Fracture After Total Hip Replacement - Orthoinfo - Aaos Source: orthoinfo.aaos.org

If the femoral neck fracture is not at all displaced (out of position), then a repair of the break may be considered. As @crickethip told you, i also experienced this during my first thr (i had both hips replaced, eight weeks apart). In general, fractures of the very top of the thigh bone, called the femoral neck, are treated with replacement. Hip fractures are cracks or breaks in the top of the thigh bone (femur) close to the hip joint. Of all the femur fractures, 13 happened preoperative, 18 happened during the operation and 7 occurred after.

Fracture After Total Hip Replacement - Orthoinfo - Aaos Source: orthoinfo.aaos.org

Broken femurs are treated with surgery and physical therapy. The injury usually results from a fall or car accident. Of all the femur fractures, 13 happened preoperative, 18 happened during the operation and 7 occurred after. The ball moves in the socket, allowing your leg to rotate and move forward, backward and sideways. Medical conditions such as osteoporosis (softening of the bone with age), or rarely cancer, can weaken the bone and make the femur more vulnerable to breaking.

Postoperative Periprosthetic Femoral Fracture Around Total Hip Replacements:  Current Concepts And Clinical Outcomes In: Efort Open Reviews Volume 5  Issue 9 (2020) Source: eor.bioscientifica.com

The injury usually results from a fall or car accident. Medical conditions such as osteoporosis (softening of the bone with age), or rarely cancer, can weaken the bone and make the femur more vulnerable to breaking. If your hip replacement broke down in some way or wasn�t implanted correctly, you very likely have a legal. A hip fracture is a break in either the upper portion of the femur or of. The ball moves in the socket, allowing your leg to rotate and move forward, backward and sideways.

If you find this site helpful, please support us by sharing this posts to your favorite social media accounts like Facebook, Instagram and so on or you can also bookmark this blog page with the title broken femur during hip replacement by using Ctrl + D for devices a laptop with a Windows operating system or Command + D for laptops with an Apple operating system. If you use a smartphone, you can also use the drawer menu of the browser you are using. Whether it’s a Windows, Mac, iOS or Android operating system, you will still be able to bookmark this website.