Can you die from myelofibrosis

» » Can you die from myelofibrosis

Can you die from myelofibrosis

Can You Die From Myelofibrosis. This condition is in the bone marrow and negatively impacts blood cell production in the body. The average survival rate among myelofibrosis patients is five years following diagnosis. Myelofibrosis can cause your bone marrow to harden. The condition gradually changes bone marrow tissue into scar tissue, inhibiting the bone marrow’s ability to create new blood cells.

Myelofibrosis-Associated Complications: Pathogenesis, Clinical Manifes |  Ijgm Myelofibrosis-Associated Complications: Pathogenesis, Clinical Manifes | Ijgm From dovepress.com

Stage 4 metastatic kidney cancer Thyroid cancer lymph node Sleeping positions to help sleep apnea Stem cell treatment for liver cirrhosis

When myelofibrosis occurs on its own, it is called primary myelofibrosis. This condition is in the bone marrow and negatively impacts blood cell production in the body. This means that the patient will die eventually. The condition gradually changes bone marrow tissue into scar tissue, inhibiting the bone marrow’s ability to create new blood cells. Studies suggest that the incidence of primary myelofibrosis is equal for adults of any sex. The idea of myelofibrosis as a gift was deeply felt, sharpening perceptions, stripping away.

The evolutive patterns, actuarial survival and causes of death of idiopathic myelofibrosis were analysed in a series of 60 patients.

The idea of myelofibrosis as a gift was deeply felt, sharpening perceptions, stripping away. When that happens, the connective tissues that surround your bones become inflamed. In its end stages, myelofibrosis presents as a wasting illness with internal bleeding due to decreased platelet levels, liver failure and general disability, explains healthcentral. A retrospective study with a cohort of 109 individuals classified myelofibrosis into 4 stages, namely, mf0 (absence of reticulin fibrosis), mf1 (mild reticulin fibrosis), mf2 (overt collagen myelofibrosis) and mf4 (osteomyelosclerotic stage). The goal of this study was to examine if the presence of these risk factors were associated with cause of death (cod) in patients with myelofibrosis (mf). A process called allogenic stem cell transplantation is the only cure.

Myelofibrosis - Myelodysplastic Syndrome - Symptoms And Causes Source: massivebio.com

They can cause bleeding, coughing up blood, or seizures. Primary myelofibrosis is a type of blood cancer that causes a buildup of scar tissue in the bone marrow, preventing it from producing a. 41 were males and 19 females. When that happens, the connective tissues that surround your bones become inflamed. In myelofibrosis, your stem cells don’t work like they should.

Myelofibrosis-Associated Complications: Pathogenesis, Clinical Manifes |  Ijgm Source: dovepress.com

41 were males and 19 females. The evolutive patterns, actuarial survival and causes of death of idiopathic myelofibrosis were analysed in a series of 60 patients. This condition is in the bone marrow and negatively impacts blood cell production in the body. You should be monitored for cardiovascular risk factors such as diabetes, high cholesterol, high blood pressure and smoking, as these should be addressed as effectively as possible. If it occurs as the result of a separate disease, it is known as secondary.

Coping With Myelofibrosis | Massive Bio Source: massivebio.com

Doctors must distinguish it from a condition called polycythemia vera, which myelofibrosis can often resemble. Doctors must distinguish it from a condition called polycythemia vera, which myelofibrosis can often resemble. The idea of myelofibrosis as a gift was deeply felt, sharpening perceptions, stripping away. The median age of the patients was 64 years; I am only taking this chinese medicine for 3 months, it will take at lease 6 months.

Long Term Survival In Myelofibrosis Improved With Early Use Of Jakafi® -  Cancerconnect Source: news.cancerconnect.com

If it occurs as the result of a separate disease, it is known as secondary. In myelofibrosis, your stem cells don’t work like they should. I am only taking this chinese medicine for 3 months, it will take at lease 6 months. Individuals who have had exposure to certain chemicals, such as benzene and toluene, have a higher risk of developing myelofibrosis. A retrospective study with a cohort of 109 individuals classified myelofibrosis into 4 stages, namely, mf0 (absence of reticulin fibrosis), mf1 (mild reticulin fibrosis), mf2 (overt collagen myelofibrosis) and mf4 (osteomyelosclerotic stage).

Prognostic Risk System Options Detailed For Myelofibrosis Source: targetedonc.com

The condition gradually changes bone marrow tissue into scar tissue, inhibiting the bone marrow’s ability to create new blood cells. When myelofibrosis occurs on its own, it is called primary myelofibrosis. Myelofibrosis is a form of leukemia that prevents the body from producing. This condition is in the bone marrow and negatively impacts blood cell production in the body. As an uncommon, but chronic leukemia, this condition can cause severe bodily harm and death if not treated correctly or efficiently.

Blood Disorders - Myelofibrosis - Beat Blood Cancer Source: beatbloodcancer.info

Current prognostic tools in myelofibrosis (mf) fail to identify patients at the highest risk of death and are limited by their applicability only to the time of diagnosis. Individuals who have had exposure to certain chemicals, such as benzene and toluene, have a higher risk of developing myelofibrosis. It is considered a form of chronic leukemia. When that happens, the connective tissues that surround your bones become inflamed. Environment exposure to petrochemicals (e.g.

Myelofibrosis-Associated Complications: Pathogenesis, Clinical Manifes |  Ijgm Source: dovepress.com

The results were consistent with disease progression in about 71% patients in mf0 phase and in these 32. Current prognostic tools in myelofibrosis (mf) fail to identify patients at the highest risk of death and are limited by their applicability only to the time of diagnosis. Can you die from myelofibrosis. The evolutive patterns, actuarial survival and causes of death of idiopathic myelofibrosis were analysed in a series of 60 patients. An enlarged spleen, which is common in people.

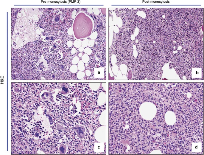
Development Of Monocytosis In Patients With Primary Myelofibrosis Indicates  An Accelerated Phase Of The Disease | Modern Pathology Source: nature.com

In times of pain, of weakness and sickness, can we die in such a way that completes our life, can we find a calm space to be complicit in our dying, to surrender, to render our bodies back to it origins and slip our moorings on our final exhalation. The average survival rate among myelofibrosis patients is five years following diagnosis. The results were consistent with disease progression in about 71% patients in mf0 phase and in these 32. As an uncommon, but chronic leukemia, this condition can cause severe bodily harm and death if not treated correctly or efficiently. Can you die from myelofibrosis.

Navitoclax For Primary Myelofibrosis Clinical Trial 2022 | Power Source: withpower.com

In times of pain, of weakness and sickness, can we die in such a way that completes our life, can we find a calm space to be complicit in our dying, to surrender, to render our bodies back to it origins and slip our moorings on our final exhalation. If it occurs as the result of a separate disease, it is known as secondary. Primary myelofibrosis is a type of blood cancer that causes a buildup of scar tissue in the bone marrow, preventing it from producing a. Myelofibrosis is just one type of myeloproliferative neoplasm that can progress to aml. Myelofibrosis is a rare type of blood cancer in which the bone marrow (the soft, spongy tissue inside most bones) is replaced by fibrous scar tissue.

Bone Marrow Fibrosis In Myelofibrosis: Pathogenesis, Prognosis And Targeted  Strategies | Haematologica Source: haematologica.org

Individuals who have had exposure to certain chemicals, such as benzene and toluene, have a higher risk of developing myelofibrosis. Myelofibrosis is a rare type of blood cancer in which the bone marrow (the soft, spongy tissue inside most bones) is replaced by fibrous scar tissue. Overall survival is defined as the time from diagnosis until death from any cause. The goal of this study was to examine if the presence of these risk factors were associated with cause of death (cod) in patients with myelofibrosis (mf). This causes scar tissue to.

Survival Of Patients With Primary Myelofibrosis. Patients Were… |  Download Scientific Diagram Source: researchgate.net

This condition is in the bone marrow and negatively impacts blood cell production in the body. In its end stages, myelofibrosis presents as a wasting illness with internal bleeding due to decreased platelet levels, liver failure and general disability, explains healthcentral. Myelofibrosis can develop in people of any age, however, it is most commonly diagnosed in individuals who are aged about 50 to 60. Myelofibrosis is an uncommon and deadly condition that has long lasting effects. The median age of the patients was 64 years;

Causes Of Myelofibrosis | Download Table Source: researchgate.net

Myelofibrosis can develop in people of any age, however, it is most commonly diagnosed in individuals who are aged about 50 to 60. Myelofibrosis can cause your bone marrow to harden. In myelofibrosis, your stem cells don’t work like they should. This means that the patient will die eventually. In its end stages, myelofibrosis presents as a wasting illness with internal bleeding due to decreased platelet levels, liver failure and general disability, explains healthcentral.

Myelofibrosis-Associated Complications: Pathogenesis, Clinical Manifes |  Ijgm Source: dovepress.com

A retrospective study with a cohort of 109 individuals classified myelofibrosis into 4 stages, namely, mf0 (absence of reticulin fibrosis), mf1 (mild reticulin fibrosis), mf2 (overt collagen myelofibrosis) and mf4 (osteomyelosclerotic stage). Individuals who have had exposure to certain chemicals, such as benzene and toluene, have a higher risk of developing myelofibrosis. The condition gradually changes bone marrow tissue into scar tissue, inhibiting the bone marrow’s ability to create new blood cells. Myelofibrosis can develop in people of any age, however, it is most commonly diagnosed in individuals who are aged about 50 to 60. In myelofibrosis, your stem cells don’t work like they should.

Myelofibrosis (Mf) Disease | Mpn Connect Source: mpnconnect.com

Environment exposure to petrochemicals (e.g. Can you die from myelofibrosis. Take care, god bless, monty. The idea of myelofibrosis as a gift was deeply felt, sharpening perceptions, stripping away. I am only taking this chinese medicine for 3 months, it will take at lease 6 months.

Haematology - Myelofibrosis | Gponline Source: gponline.com

Myelofibrosis can develop in people of any age, however, it is most commonly diagnosed in individuals who are aged about 50 to 60. A process called allogenic stem cell transplantation is the only cure. Myelofibrosis is most often diagnosed in people over the age of 60, although there are known cases of myelofibrosis in the young. The evolutive patterns, actuarial survival and causes of death of idiopathic myelofibrosis were analysed in a series of 60 patients. You should be monitored for cardiovascular risk factors such as diabetes, high cholesterol, high blood pressure and smoking, as these should be addressed as effectively as possible.

How To Manage The Transplant Question In Myelofibrosis | Blood Cancer  Journal Source: nature.com

The results were consistent with disease progression in about 71% patients in mf0 phase and in these 32. This means that the patient will die eventually. Current prognostic tools in myelofibrosis (mf) fail to identify patients at the highest risk of death and are limited by their applicability only to the time of diagnosis. The median age of the patients was 64 years; In times of pain, of weakness and sickness, can we die in such a way that completes our life, can we find a calm space to be complicit in our dying, to surrender, to render our bodies back to it origins and slip our moorings on our final exhalation.

Myelofibrosis - Causes, Symptoms, Prognosis, Diagnosis, Treatment Source: healthjade.com

In its end stages, myelofibrosis presents as a wasting illness with internal bleeding due to decreased platelet levels, liver failure and general disability, explains healthcentral. Doctors must distinguish it from a condition called polycythemia vera, which myelofibrosis can often resemble. Take care, god bless, monty. In myelofibrosis, your stem cells don’t work like they should. If it occurs as the result of a separate disease, it is known as secondary.

Can Myelofibrosis Go Away On Its Own? Source: epainassist.com

Environment exposure to petrochemicals (e.g. Myelofibrosis is just one type of myeloproliferative neoplasm that can progress to aml. Myelofibrosis can cause your bone marrow to harden. This condition is in the bone marrow and negatively impacts blood cell production in the body. You should be monitored for cardiovascular risk factors such as diabetes, high cholesterol, high blood pressure and smoking, as these should be addressed as effectively as possible.

If you find this site convienient, please support us by sharing this posts to your preference social media accounts like Facebook, Instagram and so on or you can also bookmark this blog page with the title can you die from myelofibrosis by using Ctrl + D for devices a laptop with a Windows operating system or Command + D for laptops with an Apple operating system. If you use a smartphone, you can also use the drawer menu of the browser you are using. Whether it’s a Windows, Mac, iOS or Android operating system, you will still be able to bookmark this website.